 
      Gli omega-3 aiutano le vitamine B a proteggere il cervello dall’atrofia
 
        Acidi grassi omega-3 e vitamine B: contro l’atrofia del cervello
Livelli adeguati di EPA (acido eicosapentaenoico) e DHA (acido docosaesaenoico) nel sangue migliorano l’effetto dell’integrazione con alcune vitamine del gruppo B nel contrastare l’ atrofia cerebrale, una condizione molto comune negli anziani.
È quanto riporta uno studio pubblicato sulla rivista The American Journal of Clinical Nutrition, e condotta dai ricercatori delle Università di Oxford (Inghilterra) e Oslo (Norvegia).
Struttura e funzione cerebrale: l’ importanza degli omega-3
Gli omega 3, in particolare il DHA che rappresenta l’ acido grasso più diffuso nel cervello, sono necessari per lo sviluppo del sistema nervoso e per il mantenimento della sua funzione, come dimostrato da numerose ricerche scientifiche.
Esiste una relazione positiva tra le concentrazioni di DHA e EPA nei globuli rossi e il volume del cervello Diversi studi, tra l’ altro, dimostrano che le scarse concentrazioni plasmatiche di omega-3 e omocisteina sono associate con lo sviluppo di atrofia cerebrale e demenza.
L’ aumento del tasso di atrofia del cervello è comune nelle persone anziane con deficit cognitivo. Lo scopo dello studio è stato quello di indagare se le concentrazioni di EPA e DHA nel plasma possono modificare l'effetto del trattamento con vitamine sull’ atrofia cerebrale.
Gli anziani con buoni livelli di omega-3 rispondevano meglio agli integratori
Nell’ indagine sono stati coinvolti 168 anziani con decadimento cognitivo lieve, a cui sono stati assegnati quotidianamente un placebo, o supplementi contenenti alte dosi di vitamine B (0,8 mg di acido folico, 20 mg di vitamina B6, 0,5 mg di vitamina B12).
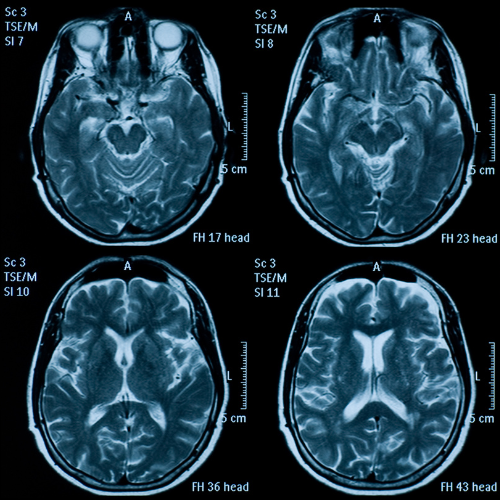
I soggetti sono stati sottoposti a risonanza magnetica cranica, all’inizio e dopo due anni dal trattamento. Queste analisi insieme a quelle del plasma hanno dimostrato che nei soggetti con elevata concentrazione di acidi grassi, il trattamento con le vitamine aveva rallentato il tasso di crescita di atrofia del 40,0% rispetto al placebo.
Più esattamente, un' interazione statisticamente significativa è stata trovata tra le concentrazioni plasmatiche delle vitamine del gruppo B e l’ EPA, ma non con il DHA. L’integrazione con le vitamine invece non aveva avuto effetti significativi sul tasso di atrofia tra i soggetti con bassi livelli di omega-3.
L’interazione tra più nutrienti è importante per la salute del cervello
Secondo i ricercatori che hanno condotto lo studio, questi dati dimostrano che l'impatto delle vitamine B dipende dalla concentrazione degli omega-3. Se questi sono disponibili per il cervello, le vitamine possono contribuire a mantenere la sua struttura.
Ma senza la giusta quantità circolante di acidi grassi, l'impatto delle vitamine del gruppo B è limitato. Questa osservazione conferma, sempre secondo gli autori, che nella relazione tra nutrizione e salute, è importante osservare non solo un nutriente.
La corretta funzione del cervello infatti, come quella di altri organi, dipende da molte sostanze nutritive per funzionare correttamente: DHA, vitamine B, vitamina E e luteina. Per rimanere sempre aggiornato sulle ultime notizie dalla ricerca scientifica sugli Omega-3 scriviti alla nostra newsletter.
Fonte: Jereren F, Elshorbagy AK, Oulhaj A, Smith SM, Refsum H, Smith AD. Brain atrophy in cognitively impaired elderly: the importance of long-chain ω-3 fatty acids and B vitamin status in a randomized controlled trial. 2015 Am J Clin Nutr doi: 10.3945/ajcn.114.103283




